CT検査について

CT検査検査について

  • CT検査

CT検査(Computed Tomography/コンピューター断層撮影)は人体にX線を照射し、透過したエネルギーをコンピューター処理をして輪切り(横断面)のレントゲン写真を得る検査です。

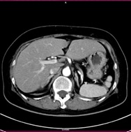
            胸部CT 腹部CT      

             胸部CT画像               腹部CT画像

 

当院ではシーメンス社製SOMATOM Definition Edge(64列マルチスライスCT)が設置され稼働しています。

この装置の特徴は従来のものに比べ検査時間を短縮、被ばく線量を低減しながらも高画質の画像が得られるところです。また、開口径が780mmと広いので狭いところが苦手な方も大丈夫です。

通常検査に加えて心臓CT検査(循環器内科)や大腸CT検査(消化器内科)などの特殊な検査にも対応しています。

 

 

 

  • 高速撮影

シーメンス社のテクノロジーにより、全身領域において高速スパイラルスキャンが可能です。

高速で230mm/秒で撮影することができ、例としておなか60cmの範囲を撮影するとした場合、約3秒の息止めで撮影することが可能です(検査の種類、目的により異なります)

         高速撮影       

 

  • 被ばく低減

一般的な装置が有している自動管電流抑制の他に、管電圧も自動制御する機能を有しています。成人・子供の被写体選択、撮影部位、撮影方法を選択することで被ばくを最大限まで自動的に減らす機能を有しています。

 

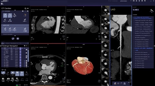
  • 心臓CT(冠動脈CT)

当院の装置は管球1回転最速0.28秒と非常に早く、幅広い心拍の方に対応しています。

解析処理は専門のワークステーションを使用し、読影は循環器内科医師と画像診断専門医(遠隔画像診断支援)双方で行い、結果を循環器内科医師よりお伝えしています

     心臓CT

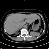
  • 造影CT検査

CT検査には、そのまま検査台に寝ていただき撮影する単純CTと造影剤を用いた造影CT検査があります。基本的には単純CT検査を行った後、より詳細に観察したい場合や血管などを観察する場合に行います。造影CT検査は肘(ひじ)のあたりに針を刺し血管内(静脈)に造影剤を入れて撮影します。

    単純CT画像 造影CT画像 MPR画像

         単純CT画像          造影CT画像          MPR画像

 疾患名 症状
 頭部 脳腫瘍、脳出血、脳血管障害  頭痛、めまい、吐き気
 胸部 肺炎、肺がん、肺梗塞 咳、息苦しさ
  腹部  癌、虫垂炎、結石、腸管穿孔

腹痛、吐き気

 四枝 骨 軟部組織

骨、関節の骨折病変

下肢動脈硬化症、静脈血栓症

痛み、違和感、腫れ 等